提醒您,本作業功能,會使用到javascript呈現作業過程的訊息提示或功能呈現,操作過程請開啟「使用javascript」功能。謝謝。
Remind you that this job function will use the message prompt of javascript rendering process, please open the "use javascript" function. Thank you.

::: 柑橘類疾病顯微底片

點擊檢視本網站使用鍵盤操作相簿說明:
  • 向上鍵:照片選單顯示
  • 向下鍵:照片選單隱藏
  • 向左鍵:上一張照片
  • 向右鍵:下一張照片
  • ESC鍵:離開相簿
文物名稱
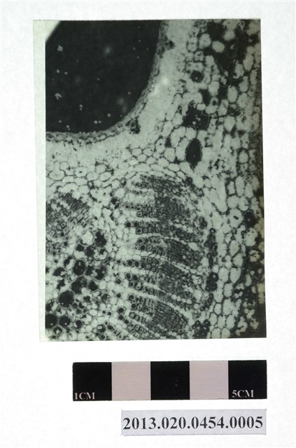
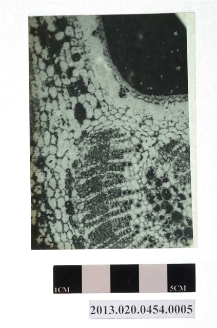
柑橘類疾病顯微底片
登錄號
2013.020.0454.0005
類別
影音類 > 攝影資料 > 經濟產業
歷史分期
1965-(1965迄今)
推測年份
1968~1973
年份描述
以同批底片的保存紙袋上所標註的最早年份1968及最晚年份1973作為年代推測依據
創作者/製造者
不詳
產地源始/製造地
臺灣
材質
底片
尺寸/重量
長度(X軸):5.8cm 寬度(Y軸):8.1cm 重量:2.2g 
關鍵字
植物病蟲害、臺大、黑白底片
文物描述
1.本件底片為膠片材質,記錄柑橘類疾病之顯微黑白影像。柑橘及病害種類不詳。保存該底片的紙袋上有「citrus disease」及「Aug. ‘57」等黑色字跡。
2.底片尺寸非制式規格,可能是由大張底片裁切而來。「NEOPAN SS SHEET FILM」片裝軟片11.8cm x 16.3cm裁切成4張。每一張約為5.9cm x 8.1cm。
3.本件底片原藏於國立臺灣大學之農學院,為國立臺灣大學農學院賴炳琳底片與照片組組件之一。國立臺灣大學前身為1928年日治時期創立的「臺北帝國大學」,成立之初日本人僅將其定位為醫學和農學的實業大學,之後才改變辦學方針而成為綜合大學。1945年中華民國政府接收臺灣後經改制與兩次易名始用現名。
參考資料
攝影材質保存之方法,國立臺灣圖書館,https://www.ntl.edu.tw/public/Attachment/27319401629.pdf (瀏覽日期:2020/08/06)。
編目者
委託編目-博典科技文化有限公司D
編目日期
2020/12/17
部件清單
登錄號 文物名稱
2013.020.0454 臺灣大學農學院賴炳琳底片及照片組
2013.020.0454.0001 臺灣大學農學院賴炳琳底片及照片組之外盒
2013.020.0454.0002 植物病害底片
2013.020.0454.0003 植物病害顯微底片
2013.020.0454.0004 柑橘類疾病顯微底片
2013.020.0454.0005 柑橘類疾病顯微底片
2013.020.0454.0006 1972年11月17日賴炳琳編號D等五個培養皿實驗觀察顯微底片
2013.020.0454.0007 1972年11月17日賴炳琳編號S-1等六個培養皿實驗觀察顯微底片
2013.020.0454.0008 1973年4月23日賴炳琳編號CK等四燒瓶實驗觀察顯微底片
2013.020.0454.0009 19735月16日賴炳琳編號X-1等六培養皿實驗觀察顯微底片
2013.020.0454.0010 賴炳琳編號P-10等六培養皿實驗觀察顯微底片
2013.020.0454.0011 1972年9月2日賴炳琳使用甲硫氨酸及半胱氨酸與胱氨酸實驗對照培養皿實驗觀察顯微底片
2013.020.0454.0012 1973年3月15日賴炳琳編號A等五培養皿實驗觀察顯微底片
2013.020.0454.0013 1973年3月20日賴炳琳編號S-1等六個培養皿實驗觀察顯微底片
2013.020.0454.0014 1973年3月20日賴炳琳編號S-1等六個培養皿實驗觀察顯微底片
2013.020.0454.0015 民國62年5月14日賴炳琳真菌顯微底片
2013.020.0454.0016 民國62年5月14日賴炳琳真菌孢子顯微底片
2013.020.0454.0017 民國62年5月25日賴炳琳真菌顯微底片
2013.020.0454.0018 男子獨照黑白負片底片
2013.020.0454.0019 三片葉片照底片
2013.020.0454.0020 臺灣大學植物病蟲害系師生合照底片
2013.020.0454.0021 甘蔗病害底片
2013.020.0454.0022 甘蔗病害黑白照片
最後更新日期: 2025/03/13
TOP
0 藏品申請清單
  • 目前無待申請授權藏品資料
查看授權申請
列表呈現最多10筆,可點選授權申請看更多